A Case of Altered Speech

Hey Team,

We had a fascinating case last shift.

We were called to triage for a patient with “aphasia.” There, we met a 40s-year-old Spanish-speaking woman with a history of type 2 diabetes, peripheral arterial disease, CKD, and hyperlipidemia. She reported several days of acute-onset speech difficulty — in her words, she was “talking like she’s stupid.”

On exam, she had no focal neurologic deficits aside from her speech. Specifically, there was no facial asymmetry, facial weakness, or abnormal palatal elevation. Her speech was deliberate but “off.” It was intelligible and not slurred, yet the enunciation sounded unusual. To best describe her speech pattern — since we don’t have an audio recording — imagine the cadence of the South Park character Nathan (apologies in advance for the insensitivity of the reference, it’s simply the closest comparison).

Her family confirmed that her voice had indeed sounded different. Her blood glucose was normal, and her vitals were unremarkable.

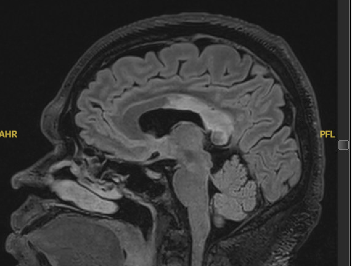
Although this wasn’t a classic neurologic deficit, we proceeded with an urgent CT/CTA, which revealed an isolated infarction of the corpus callosum. (See CT and then T2 FLAIR MRIs)

CT HEAD WITHOUT. AXIAL View.Black Circle: Hypodensity in the Corpus Collosum

T2 FLAIR MRI AXIAL

T2 FLAIR MRI SAG


Let’s review this rare stroke pattern briefly.

Isolated Corpus Callosum Infarction

Overview:
The corpus callosum connects the left and right cerebral hemispheres. It has a robust dual blood supply from both anterior and posterior circulations, which makes isolated infarction uncommon (reported involvement between 3% and 8% of all cerebral infarcts, less when isolated).

Clinical Features:
Infarction here can produce hemispheric dysfunction or interhemispheric disconnection. The classic presentation is callosal disconnection syndrome (CDS), which may include:

  • Apraxia – loss of learned motor patterns despite intact strength.

  • Agraphia – inability to write previously learned words.

  • Left-hand tactile anomia – inability to name objects held in the left hand.

  • Alien hand syndrome (AHS) – involuntary or conflicting hand movements.

Apraxia of Speech:
A motor planning disorder distinct from dysarthria or aphasia. Speech remains fluent and intelligible but with inconsistent errors, sound distortions (especially vowels), and abnormal prosody — the rhythm and intonation patterns of speech. It is not due to weakness or paralysis of speech muscles.

AHS typically suggests more extensive involvement of the corpus callosum, whereas isolated infarctions often produce subtle or atypical findings, as seen in this case.

Cheers,

Dillon

References

  1. Li S, Sun X, Bai Y-m, Qin H-m, Wu X-m, Zhang X, et al. Infarction of the Corpus Callosum: A Retrospective Clinical Investigation. PLoS ONE. 2015;10(3):e0120409. doi:10.1371/journal.pone.0120409. Pubmed

  2. Yang LL, Huang H, Zhang X, et al. Clinical features of acute corpus callosum infarction patients. J Neurol Sci. 2014;337(1-2):14-19. doi:10.1016/j.jns.2013.12.014. Pubmed

  3. Utianski RL, Holland AJ, Josephs KA, et al. An Update on Apraxia of Speech. NeuroRehabilitation. 2023;53(4):455-473. doi:10.3233/NRE-230042. Pubmed

Previous
Previous

Utility of BNP in Acute HF?

Next
Next

Diverticula and Dislocations (Shoulder)